Ankle Replacement
What is Ankle Replacement?
Ankle replacement, or ankle arthroplasty, is a surgical procedure to replace the damaged articular surfaces of the human ankle joint with prosthetic components. This procedure is becoming the treatment of choice for patients, replacing the conventional use of arthrodesis, i.e. fusion of the bones. The restoration of range of motion is the key feature in favor of ankle replacement with respect to arthrodesis. However, clinical evidence of the superiority of the former has only been demonstrated for particular isolated implant designs.
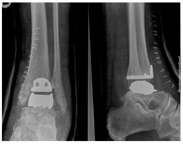
Total ankle replacement removes and then replaces both sides of the ankle joint with specially designed components, called prostheses. The tibial prosthesis consists of a polyethylene (medical grade plastic) and titanium base plate tray that is inserted into the tibia and fibula, giving the implant a wide base for support.
Ankle replacement is surgery to replace the damaged bone in the ankle joint. Artificial joint parts (prosthetics) are used to replace your own bones. There are a number of devices that have been approved by the Food and Drug Administration (FDA) for use in ankle replacement surgery.
Description:-
Ankle replacement surgery is most often done while you are under general anesthesia. This means you will be asleep and pain-free. You may have spinal anesthesia. You will be awake but will not feel anything below your waist. If you have spinal anesthesia, you will also be given medicine to help you relax during the operation. Your surgeon will make a surgical cut in the front of your ankle to expose the ankle joint. Your surgeon will then gently push the tendons, nerves, and blood vessels to the side. After this:
- Your surgeon will remove the damaged bone and cartilage.
- Your surgeon will replace the damaged part of :
- The metal parts of the new artificial joint are then attached to the cut bony surfaces. A special glue/bone cement may be used to hold them in place.
- A piece of plastic is inserted between the two metal parts.
- After putting the tendons back into place, the surgeon closes the wound with sutures (stitches). You may need to wear a splint, cast, or brace for a while to keep the ankle from moving.
The lower end of your shin bone (tibia)
The top of your foot bone (talus) that the leg bones rest on
Why the Procedure is Performed
Ankle replacement surgery may be done if the ankle joint is severely damaged. Your symptoms may be pain and loss of movement of the ankle. Some causes of damage are:
- Arthritis caused by ankle surgery in the past
- Bone fracture
- Infection
- Osteoarthritis
- Rheumatoid arthritis
You may not be able to have a total ankle replacement if you have had ankle joint infections in the past.



